2016年に初めて報告された自己免疫性ステロイド反応性髄膜脳炎。
運動異常を伴う原因不明の髄膜脳炎±脊髄炎において頭部MRIのT2/FLAIRで白質・基底核・視床下部の高信号、造影で線状脳室周囲放射状ガドリニウム増強など特徴的所見を認めた場合は本症を疑い、髄液中の抗GFAP抗体を提出する。
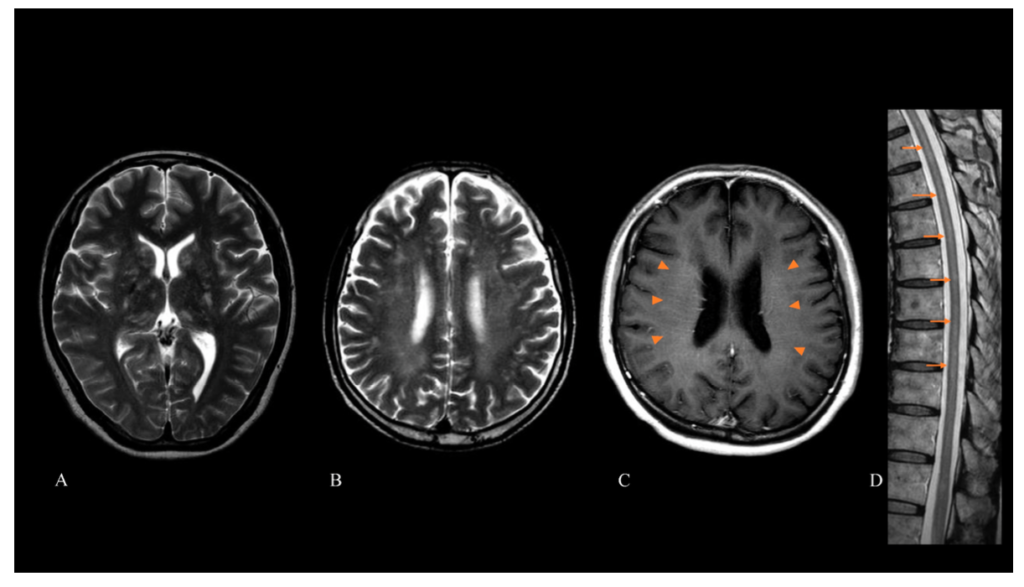
50-60代の男性が数ヶ月の経過で37℃台の発熱、倦怠感、吃逆、姿勢時振戦、ADL低下のため精査目的に入院された。CRP陰性であり副腎不全を当初疑ったがホルモンは問題なし、髄膜炎を疑って実施した腰椎穿刺で細胞数上昇と蛋白上昇を認めた。下垂体の評価も含めて行った頭部造影MRIで脳室周囲の放射状・点状の高信号、延髄最後野の病変があり、読影で自己免疫性GFAPアストロサイトパチーの疑いとなったため勉強。
はじめに
グリア線維性酸性蛋白質(glial fibrillary acidic protein; GFAP)は、中枢神経系のグリア細胞である星状膠細胞(アストロサイト)の細胞骨格内に存在する中間径フィラメントを構成するタンパク質。
2016年米国メイヨークリニックのグループが、抗GFAP抗体が陽性となる新たな中枢神経系炎症疾患を “自己免疫性 GFAP アストロサイトパチー” (GFAP-A)と提唱した。
GFAP-Aは自己免疫性ステロイド反応性髄膜脳炎±脊髄炎の一種。
髄液中の抗GFAP抗体の検出で診断する。
GFAPは、AQP4、ミエリノリゴデンドロサイト糖タンパク質(MOG)、SOX1に次いで、臨床的有用性が確認された4番目のグリア自己抗原である。
臨床的特徴
臨床病型は、髄膜脳炎56%・髄膜脳脊髄炎41%・脊髄炎3%の順に多い。
髄膜炎症状(発熱、頭痛、意識障害)、脳炎症状(認知機能低下、てんかん発作など)、脊髄炎による症状(運動麻痺、膀胱直腸障害)など病変によって様々な症状を認める。
視神経乳頭浮腫に関連した霧視の報告もある。
自律神経障害の合併もしばしば認める。
発症様式としては71%が8週間以内の急性または亜急性の発症だが、一部で慢性経過の症例も報告されている。
岐阜大学からの87例の報告では、運動異常85%(失調49%、振戦45%、ミオクローヌス37%、ジスキネジア2%、オプソクローヌス2%、筋強剛2%、ミオキミア1%、舞踏病アテトーゼ1%)、排尿障害77%、意識障害76%、項部硬直・ケルニッヒ徴候64%、発熱64%、腱反射亢進58%、頭痛51%、認知機能低下48%、Psychosis43%、乳頭浮腫43%、脱力37%、感覚障害28%、呼吸障害22%、けいれん20%と報告されている。

腫瘍の合併
87例中14例(16%)で腫瘍の合併あり。卵巣奇形腫が5例、乳がん3例、下垂体腺腫1例、聴神経腫瘍1例、甲状腺濾胞腺腫1例、大腸がん1例、直腸がん1例。
卵巣奇形腫の合併が多く報告されている。
画像
頭部MRI
T2/FLAIRの高信号88%(白質58%、基底核43%、小脳6%)
ガドリニウムによる造影所見68%
線状脳室周囲放射状ガドリニウム増強(LPRGE; linear periventricular radial gadolinium enhancement)パターンが約半数に認められる。
*LPRGEはリンパ腫様肉芽腫症・神経サルコイドーシス・中枢神経系血管炎の患者でも報告されている。
脊髄MRI
髄内のT2高信号41%
ガドリニウムによる造影所見47%(髄内24%、髄膜25%)


髄液所見
単核球優位の細胞数増加と蛋白の上昇を認める。オリゴクローナルバンドは70%で陽性。
抗GFAP抗体
メイヨークリニックからの102例のうち血清・髄液ともに検査を行った49例の報告では、髄液は92%(42例)で陽性、血清は45%(22例)で陽性だった。
他の抗体の合併
抗MOG抗体陽性4%(2/57)、抗GAD抗体陽性25%(2/8)、抗NMDA受容体抗体5%(2/42)、抗AQP4抗体0%(0/66)と報告あり。
抗GFAP抗体に加えて抗NMDA受容体抗体や抗AQP4抗体が陽性の場合は奇形腫の存在が示唆される。
治療
基本的にグルココルチコイドが奏功することが多い。
ステロイドパルス療法が行われる事が多いが、ステロイドの用法・用量に関してエビデンスはない。血漿交換、IVIG、免疫抑制薬なども症例によって使用されている。
再発例もあり注意深い経過フォローが必要となる。
2016年に初めて報告された自己免疫性ステロイド反応性髄膜脳炎。
運動異常を伴う原因不明の髄膜脳炎±脊髄炎において頭部MRIのT2/FLAIRで白質・基底核・視床下部の高信号、造影で線状脳室周囲放射状ガドリニウム増強など特徴的所見を認めた場合は本症を疑い、髄液中の抗GFAP抗体を提出する。
〈参考文献〉
Autoimmune Glial Fibrillary Acidic Protein Astrocytopathy: A Novel Meningoencephalomyelitis. JAMA Neurol. 2016;73:1297-1307. PMID: 27618707.
Clinical characteristics of autoimmune GFAP astrocytopathy. J Neuroimmunol. 2019;332:91-98.PMID: 30991306.
Glial fibrillary acidic protein immunoglobulin G as biomarker of autoimmune astrocytopathy: Analysis of 102 patients. Ann Neurol. 2017;81:298-309. PMID: 28120349.
Characteristics of Movement Disorders in Patients with Autoimmune GFAP Astrocytopathy. Brain Sci. 2022;12:462. PMID: 35447992.
